لا تهمل أعراض سرطان الدم المبكرة بلسم أعراض و أمراض البيان
تعرف على أعراض سرطان الدم اليوم السابع
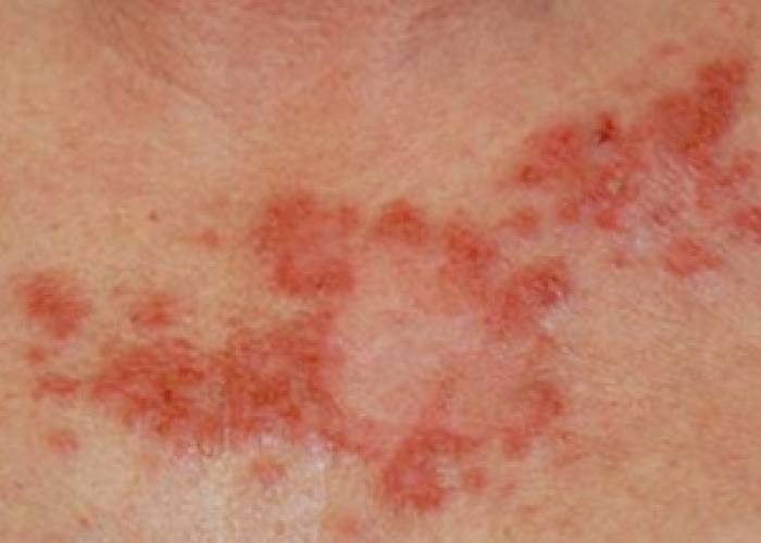
سرطان الدم الجلدي
سرطان الدم 10 أعراض قد تشير إلى الإصابة بمرض سرطان الدم لا يجب تجاهلها لك العافية
اعراض سرطان الدم عند النساء وافضل طرق علاجه موسوعة
استشاري 8 أعراض تكشف عن سرطان الدم وهذه طرق العلاج
كل ما تود معرفته عن مرض سرطان الدم مجلتك
اكتشاف طريقة جديدة لعلاج أحد أنواع سرطان الدم زمان الوصل
اعراض سرطان الدم المبكرة عند النساء
ما سبب ظهور حبوب حمراء في الجسم موضوع
7 علامات تساعد على اكتشاف اللوكيميا مبكرا قل ودل
10 علامات قد تدل على الإصابة بالسرطان ويب طب
بقع حمراء على الجسم أثناء السرطان صورة سرطان 2020
أعراض تكسر صفائح الدم سطور
ما سبب ظهور نقط حمراء على الجلد
التقران السفعي بقعة خشنة تظهر في الجلد البيان الصحي مقالات ودراسات البيان
أعراض سرطان الجلد اكتشف أهمها بنفسك ويب طب
طرق الوقاية من سرطان الجلد المرسال
ما هي الأعراض المبكرة لسرطان الجلد سطور