يتكون سقف الحلق من جزءين مختلفين في Pharmacist Online صيادلة أون لاين Facebook
Dr Khaled Auf Twitter التخدير في سقف الفم أكثر تخدير يسبب آلم للمريض كون هذه المنطقة شفافة جدا Thin Mucosa لذلك ينصح لن تكون كمية التخدير لا تتجاوز 1 3mm يعني مجرد قطرات قليلة
شق سقف الحلق Saber Beauty Clinic
التهاب سقف الحلق أسبابه وعلاجه طبيعيا صحة جريدة اللواء
المشكلة والعلاج كل ما تريد أن تعرفه عن التهاب سقف الحلق مستشفيات مغربي
جهاز يسمى رافع سقف الحلق Palatal Lift تعويضات الوجه والفكين و الأصابع الصناعية Maxillofacial Prosthetics فيسبوك
5 أمراض يكشفها فمك قرحة القولون ومرض كرون وارتجاع المرىء والمعدة وأمراض الكبد والدم احترس من نزيف اللثة المستمر وقرح سقف الحلق واصفرار الأغشية والبقع الحمراء اليوم السابع
أستاذ تجميل فتحة سقف الحلق من أهم العيوب الخلقية عند حديثي الولادة
هبات ربانية تخلصك من فطريات الفم وتقرحات سقف الحلق دواء فطريات الفم الطبيعي الحل لرائحة الفم الكريهه Youtube In 2020 Beautiful Nature Home Cooking
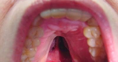
علاج الشفة المشقوقة وشق سقف الحلق
علاج شق سقف الحلق بأفضل الطرق 2020 دكتور صابر عبد المقصود